ECPF-3
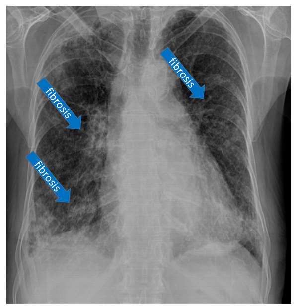
Lung Fibrosis
Airway remodeling is a prominent feature of asthma and chronic obstructive pulmonary disease. The extent of remodeling is correlated with the severity of both diseases. A major contributor to airway remodeling is a process called fibrosis, or scar tissue formation, which causes a thickening and stiffening of the airways. Ultimately, fibrosis leads to an increase in the effort required for breathing and the need for supplemental oxygen.
Fibrosis is caused by interaction of several types of lung cells that produce an overabundance of fibrous proteins, including collagen, leading to reduced lung elasticity. Normally, there is a balance between the synthesis and breakdown of these proteins that are important for providing the structural and supportive framework of the airways and blood vessels in the lungs.
During airway remodeling, the cells that produce this framework are altered by exposure to molecules that cause inflammation, a change in the types of fibrous proteins that are produced, and an increase in the deposition of fibrotic material. We are developing the novel therapeutics, ECPF-3 and ECPF-4, to target matrix metalloproteases that degrade proteins such as collagen, and produce molecules that increase the presence of inflammatory cells and contribute to the changes that cause fibrosis.

